Actualités

Période
Nutrition et microbiote 2025
événement Du 16 oct. 2025 au 17 oct. 2025

Nantes (44)

Journée Nutrition & Microbiote à Nantes

Retrouvez la Journée Nutrition & Microbiote à Nantes le 16 octobre 2025. Une journée incontournable pour les professionnels, chercheurs et acteurs de la nutrition et du microbiote, rythmée par des conférences, des échanges et du networking. Cette édition 2025 mettra en lumière les avancées scientifiques, cliniques et industrielles autour des liens entre nutrition et microbiote dans diverses aires thérapeutiques.
Etudiant(e) M2
événement

25 avril 2025

Laboratoires du CRNH-Ouest

Appels à projets 2025: LEVEX et M2R

Le CRNH-Ouest lance en interne deux appels à projets (ouvert uniquement aux laboratoires membres du CRNH-Ouest), l'AAP « LEVEX CRNH-Ouest » pour favoriser la genèse de données préliminaires au dépôt d’un projet de dimension nationale ou internationale (montant 50k€) et l'AAP M2R pour le financement d’un Master 2 (montant 5k€) . Les retours des dossiers sont attendus pour le 25 avril 2025.
événement

10 juillet 2025

Nantes (44)

Journée JANGO 2025

Retrouvez la JOURNEE ANIMATION NUTRITION GRAND OUEST JANGO Journée d'Animation organisée le jeudi 10 juillet 2025 à Nantes (44) par le CRNH Ouest
événement Du 24 août 2025 au 29 août 2025

Paris

International congress of nutrition IUNS-ICN 2025

E HAVE THE PLEASURE ON BEHALF OF THE FRENCH SOCIETY OF NUTRITION AND THE FRENCH FEDERATION OF NUTRITION TO PRESENT THE 23RD EDITION OF INTERNATIONAL CONGRESS OF NUTRITION Scientific Symposia Submission Deadline : DATE : Friday, 14 March, 2025, 23:59 (GMT+02) Download the synopsis of the event
événement

30 janvier 2025

Nantes Université Batiment Bias2 Amphi B - Rue Bias 44000

Winter School MICAS - 2025

Séminaires de la WINTER SCHOOL MICAS "Microbiote et Santé" le jeudi 30 janvier à Nantes - Bias2 - Amphi B - accueil café à partir de 8:40 L'inscription est gratuite mais obligatoire, merci de votre compréhension : https://forms.gle/Cws2UbYAJdEyzx5o6 Vous trouverez le programme ci-dessous .
JourneeNutrition&Microbiote2024
événement

07 novembre 2024

Nantes

Journée Nutrition & Microbiote - de la prévention à la thérapie

Journée Nutrition & Microbiote : De la prévention à la thérapie Les thématiques abordées lors de cette journée : Oncologie Maladies métaboliques Maladies chroniques et inflammatoires Santé mentale
MicAliSan
événement

09 janvier 2023

Internet

MicAliSan Exposition Numérique Microbiote Alimentation Santé

Sous la forme d'un site internet interactif avec des illustrations animées, l'exposition a pour ambition de devenir un support de formation/ information qui cible principalement un public collégien ou lycéen. Le contenu pédagogique vulgarise les interactions entre aliments et microbiote ainsi que leurs effets bénéfiques et délétères sur notre organisme.
Logo FHU EXACT
événement

09 novembre 2023

Tours

Collaboration avec la FHU EXAC.T

Fédération Hospitalo-Universitaire : Autisme et Troubles du Neurodeveloppement FHU EXAC.T : Retour sur la journée d’échange des partenaires de la FHU
CIMMAP
événement

22 février 2024

IRS-UN, 8 Quai Moncousu, 44000 Nantes

CONGRÈS PROJET CIMMAP 2024

Le congrès CIMMAP "Une supplémentation en prébiotiques pendant la grossesse, une nouvelle stratégie pour prévenir l'allergie de l'enfant?" qui aura lieu à Nantes (amphithéâtre Denis Escande de l’IRS-UN 8 quai Moncousu) les 22 et 23 février 2024. Le congrès CIMMAP est ouvert à tous en fonction des places disponibles. L'inscription est gratuite pour les académiques (une contribution est demandée aux industriels qui ne co-financent pas le congrès) .
événement

17 janvier 2024

Amphitéatre Ricordeau, 1 place Alexis Ricordeau (Hotel Dieu), NANTES

Conférence grand public : mon microbiote, mon poids, ma santé

Conférence grand public : mon microbiote, mon poids, ma santé - 17 janvier 18h30
Alimentation - Que mangerons-nous en 2050 ?
article

11 septembre 2023

Rédaction : CRNH Ouest

Alimentation - Que mangerons-nous en 2050 ?

Que mangerons-nous en 2050 ? Cette question sera au cœur d’un débat public organisé au Sénat avant la fin de l’année. À l’occasion d’auditions en vue de cet évènement, les sénateurs ont identifié plusieurs tendances alimentaires majeures : la production locale, le bio, les viandes de culture, les algues, les insectes… Alors, mangerons-nous tous bio dans 30 ans ? Quid de la viande d’élevage, des insectes et de la viande de laboratoire… ? Quelques réponses à la lumière de récents travaux et de réflexions d’experts de l’Inserm et d’instituts partenaires. Plusieurs auteurs sont du CRNH Ouest (Mr Val-Laillet - Mr Neunlist - Mr Jacobi - Mr Boquien - Mme Friant-Perrot - Mme Gallen). Le lien vers le dossier pages 29 à 39 est : https://fr.calameo.com/read/005154450e360a49aa8bd
article

11 septembre 2023

Rédaction : PE Sado

Prix SFN 2022 pour Simon DUCHEIX

Le chercheur Simon DUCHEIX a reçu en 2022 un prix de la Société Française de Nutrition - SFN
La période d’allaitement : une fenêtre sensible de programmation du futur adulte
article

11 septembre 2023

Rédaction : UMR 1280 PhAN

La période d’allaitement : une fenêtre sensible de programmation du futur adulte

Les "1000 premiers jours", élargi récemment à l’adolescence, constituent une fenêtre unique de sensibilité au cours de laquelle l’environnement a un effet rémanent qui ‘programme’ le risque du futur adulte de souffrir de maladies chroniques (hypertension artérielle, obésité, diabète, insuffisance coronarienne…) pendant le reste de sa vie. Quels effets une carence ou un excès d’un nutriment peuvent-ils avoir sur la composition du lait maternel et sur la santé du nouveau-né à court et à long terme ? Détecter précocement les effets d’une empreinte nutritionnelle chez le nouveau-né et l’enfant permettrait de pouvoir agir, en particulier par l’alimentation, sur sa santé future.
Revue Sesame
article

11 septembre 2023

Rédaction : CRNH Ouest

Dossier "Obésité infantile: le poids de la famille" dans le N°6 de la revue Sesame

Le numéro 6 de la revue Sesame (Sciences et Société, Alimentation, Mondes agricoles et Environnement) contient un dossier sur "Obésité infantile: le poids de la famille" avec une contribution de Patricia Parnet DU de PHAN.
Rencontre Ministre Mme Vidal Nantes
article

11 septembre 2023

Rédaction : PE Sado

Présentation du CRNH ouest auprès de la Ministre

Le 22 octobre 2020, Madame Frédérique VIDAL, Ministre de l’Enseignement Supérieur, de la Recherche et de l’Innovation, est venue en visite officielle à l'Université de Nantes et a rencontré les principaux acteurs de la recherche locale. A cette occasion, Monsieur Clair-Yves BOQUIEN, Directeur du CRNH-Ouest, a été invité à présenter LA STRUCTURE ET SES ACTIVITES.
article

09 janvier 2024

Rédaction : CRNH Ouest

Le CRNH-Ouest partenaire du projet CIMMAP

Le CRNH-Ouest est partenaire du projet CIMMAP, étude de nutrition périnatale et de prévention des allergies de l’enfant, sélectionnée dans le cadre de l’AO ANR-DGOS 2017.
L'alimentation à découvert
article

11 septembre 2023

Rédaction : Hélène Billard

L'alimentation à découvert

Un panorama complet pour tout comprendre aux enjeux de l’alimentation au xxie siècle auquel a participé Dominique Darmaun, directeur de l'unité PhAN
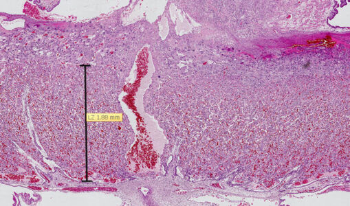
Placenta de rat (Sprague Dawley) au 21ème jour de gestation, coloré à HE (l'hématoxyline et l’éosine). La zone mesurée est le labyrinthe où se trouve le réseau capillaire placentaire.
article

11 septembre 2023

Rédaction : Hélène BILLARD

La citrulline contre le retard de croissance intra-utérin ?

Son apport pendant la gestation améliore la croissance fœtale chez le rat.
The American Journal of Clinical Nutrition
article

11 septembre 2023

Rédaction : CRNH de Nantes

Une publication de l'étude de recherche clinique Polynuca

Effect of preterm birth and birth weight on eating behavior at 2 years of age.
article

11 septembre 2023

Rédaction : CRNH Ouest

Le CRNH de Nantes devient le CRNH Ouest

L'arrêté approuvant le renouvellement du GIP CRNH Ouest et sa nouvelle convention a été publié au journal officiel du 14 novembre 2013.
L’équipe de Direction du CRNH Ouest vous souhaite ses meilleurs vœux pour cette année 2017, dans vos projets professionnels et également personnels.
article

11 septembre 2023

Rédaction : L’équipe de Direction du CRNH Ouest

Meilleurs voeux 2017

L’équipe de Direction du CRNH Ouest vous souhaite ses meilleurs vœux pour cette année 2017, dans vos projets professionnels et également personnels.
  • 1 (current)